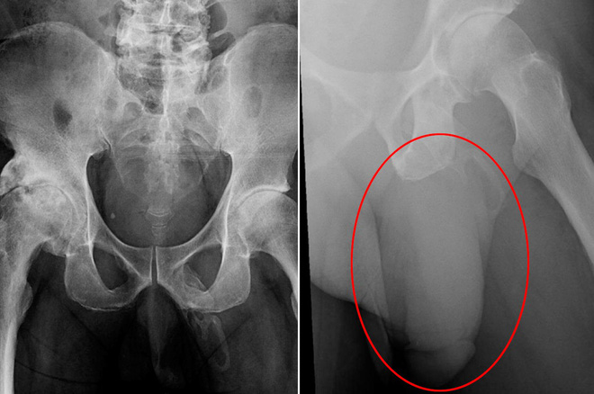
Sau khi bị ngã, người đàn ông này bèn đến bệnh viện để chụp X-quang, kết quả cho thấy xương hông hoàn toàn bình thường, nhưng điều kì lạ là các bác sĩ lại thấy rằng dương vật của ông ta đang "hoá thạch" bởi sự hình thành của các tế bào xương.
Một người đàn ông 63 tuổi đã tự mình đến Trung tâm Y tế và Sức khỏe Tâm thần Lincoln Medical and Mental Health Center ở New York để khám sau một cú ngã trên vỉa hè.
Ban đầu, sau cú ngã đó ông ta vẫn đứng dậy và tiếp tục bước đi mà không gặp phải chấn thương lớn nào. Nhưng người đàn ông này bắt đầu trở nên lo lắng sau khi đầu gối bắt đầu đau, theo Tạp chí y khoa Urology Case.

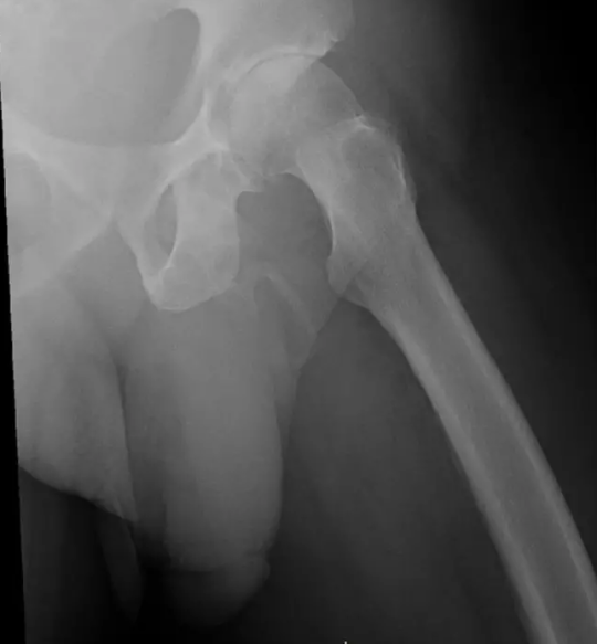
Hình ảnh chụp X-quang cho thấy xương chậu không bị vỡ nhưng lại thấy các tế bào xương hình thành trong dương vật của người đàn ông này, được gọi là dương vật “hóa thạch”.
Khi ở bệnh viện, các bác sĩ lo rằng ông ta còn gãy thêm một số xương khác nữa nên đã chụp X-quang vùng xương chậu.
Kết quả cho thấy vùng xương chậu của ông ra hoàn toàn bình thường, không hề có dấu hiệu nứt vỡ, thay vào đó, các bác sĩ lại phát hiện ra các tế bào xương đang hình thành trong dương vật của người đàn ông này khiến nó đang dần "hoá thạch".
Theo các báo cáo trước đó, người đàn ông này đã từng đi khám vì "một số cơn đau ở dương vật", nhưng các bác sĩ không tìm thấy triệu chứng nhiễm trùng hay các bệnh lây qua đường tình dục.

Hình ảnh chụp X-quang của bệnh nhân.
Sau khi xem xét tình hình thực tế, các bác sĩ chẩn đoán anh ta bị "hóa thạch"dương vật - sự hình thành xương bất thường xảy ra khi các mô mềm bình thường bị vôi hóa và cứng lại, nhưng có vẻ người đàn ông 63 tuổi này không thích những gì mình được nghe thấy nên rời khỏi bệnh viện và bỏ qua lời khuyên của bác sĩ.
"Hóa thạch" dương vật vẫn là một tình trạng tương đối hiếm gặp được đề cập trong rất ít tạp chí, cho tới nay mới chỉ có gần 40 báo cáo trường hợp được công bố.

Bệnh Peyronie (PD) là tình trạng viêm mạn tính của bao trắng thể hang dương vật, gây tình trạng rối loạn mô liên kết dẫn đến phát triển mảng xơ cứng ở dương vật, chiếm tỷ lệ 10% nam giới. Bao trắng là bao xơ bao bọc thể hang, dầy lên gây đau, cong bất thường dương vật, rối loạn cương, ngắn dương vật.
Các bác sĩ tại Trung tâm Y tế và Sức khỏe Tâm thần Lincoln cho biết: "Chúng tôi không thể đánh giá (nguyên nhân) kể từ khi bệnh nhân của chúng tôi quyết định rời khỏi tư vấn y tế", ngoài ra việc điều trị căn bệnh lạ của người đàn ông này sẽ liên quan đến thuốc giảm đau trong một thời gian dài, phẫu thuật và cả các liệu pháp sóng xung kích.
"Hóa thạch" dương vật thường là hậu quả của bệnh Peyronie - một rối loạn của liên kết mô trong dương vật, còn được gọi là xơ hóa dương vật, ngoài ra bệnh này còn rút ngắn và làm cong dương vật.
Cho tới nay, nguyên nhân cơ bản của bệnh Peyronie chưa được hiểu rõ nhưng người ta cho rằng đó là rối loạn chữa lành vết thương (wound-healing disorder) làm cho các mô trong dương vật không thể tự lành và được kích hoạt bởi chấn thương. Vết thương có thể to hoặc nhỏ như khi xảy ra trong lúc quan hệ tình dục. Khi dương vật lành, mô sẹo hình thành dư thừa quanh các lớp mô liên kết bao quanh các tạng cương.
»Để trẻ một mình trong xe hơi dưới trời nóng nguy hiểm thế nào?
»Tàu thăm dò Mặt trăng của Ấn Độ gửi hình ảnh đầu tiên về Trái đất
»Nhật Bản cấp phép thí nghiệm nuôi phôi lai giữa người và động vật, hy vọng hay thảm họa cho loài người?
»Khoa học tìm ra bằng chứng xác thực sự tồn tại của Đấng Sáng Thế
»Đồ trang sức của Hoàng hậu Cleopatra được mạ điện: Điện đã tồn tại từ thời Ai Cập cổ đại?
Nguồn: Trithuctre
»10 chủng tộc người ngoài hành tinh được cho là từng ghé thăm Trái Đất
»Các báo cáo giải mật hé lộ mối liên hệ giữa cựu thủ tướng Anh và vô số vụ chứng kiến UFO
»Bức ảnh "thiên thần lơ lửng" trên xe gây xôn xao
»Kỳ lạ: Hai viên đá thơm như nước hoa, 5 tỉ chưa bán
»Cái chết nơi thiên đường và dự ngôn về Chúa Cứu Thế
